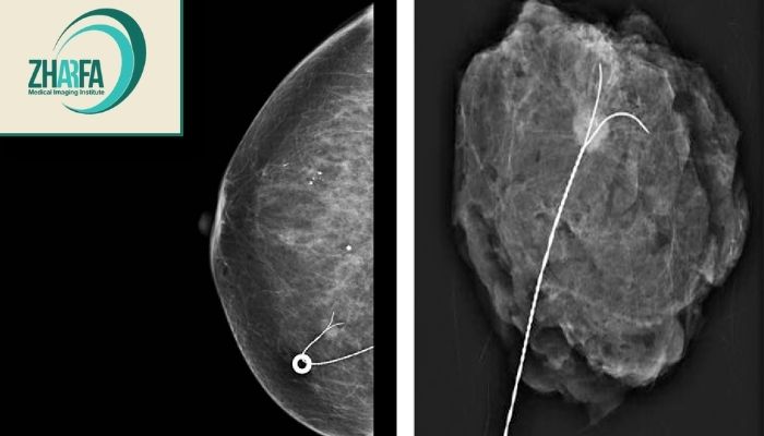
وایرگذاری پستان درد دارد؟



آنچه در این مقاله میخوانید


معمولاً بین ۱۰ تا ۲۰ دقیقه زمان میبرد بسته به نوع ضایعه و ابزار تصویربرداری مورد استفاده.
اگر بلافاصله بعد از وایرگذاری جراحی دارید معمولاً ناشتایی لازم است اما اگر بین دو مرحله فاصله زیادی باشد نیاز نیست.
بله، مانعی ندارد مگر اینکه فرد درد یا حساسیت زیادی در سینه داشته باشد. پزشک بر اساس وضعیت شخص تصمیم میگیرد.
خیر، فقط یک نقطه کوچک محل ورود سوزن باقی میماند که معمولاً ظرف چند روز ترمیم میشود.
لیست نظرات
من هفته پیش وایرگذاری انجام دادم خیلی استرس داشتم ولی واقعاً درد خاصی نداشت.
دکتر گفت فقط چند دقیقه طول میکشه دقیقاً همونطور بود و کمتر از ده دقیقه تموم شد.
اولش از اسمش ترسیدم فکر میکردم وایر یعنی یه شی فلزی دردناک ولی اصلاً اینطور نبود.
تو بیمارستان گفتن حتما لباس آزاد بپوشم خیلی نکتهی خوبی بود چون سیم نباید فشار بخوره.
تماس با ما
تایم کاری :
8:00 الی 20:00تماس :
آدرس :
تهران، خیابان پیروزی، بین شکوفه و اتوبان امام علی (ع)، روبروی مترو شیخالرئیس (ابن سینا)، نبش کوچه مفتخر، پلاک ۹، طبقه دومواتساپ :
لینک واتساپ