
خدمات رادیوگرافی مرکز دکتر حیدری: تشخیص دقیق و سریع بیماریها
رادیوگرافی یا پرتونگاری یکی از روشهای اصلی و پرکاربرد در تصویربرداری پزشکی است که در آن از تابش اشعه ایکس برای تولید تصاویر از داخل بدن استفاده میشود. این اشعه قادر است از بافتهای نرم مانند پوست و عضلات عبور کند در حالی که بافتهای سخت مانند استخوانها مانع عبور آن میشوند و در نتیجه در تصاویر به رنگ سفید ظاهر میگردند. این تکنیک به پزشکان کمک میکند تا بهطور دقیقتری بیماریها، آسیبها و اختلالات موجود در بدن را تشخیص دهند.
انواع رادیوگرافی

ساده (Plain X-ray)
ابتداییترین و رایجترین روش است که از اشعه ایکس برای تولید تصاویر استفاده میکند. در این روش پرتوهای ایکس به بدن تابانده میشود و تصاویر با استفاده از فیلمهای عکاسی ثبت میشوند. این تصاویر معمولاً برای بررسی استخوانها و مفاصل به کار میروند.ویژگیها:
استفاده از فیلمهای عکاسی برای ثبت تصویر.
زمان پردازش طولانیتر نسبت به روشهای دیجیتال.
معمولاً به صورت سیاهوسفید و ساده.
کاربردها:
بررسی شکستگیها و دررفتگیها.
ارزیابی مشکلات استخوانی و مفصلی.
بررسی اولیه بیماریهای ریوی مانند ذاتالریه.
دیجیتال (Digital X-ray)
در این روش بهجای استفاده از فیلمهای عکاسی، تصاویر مستقیماً بر روی صفحههای دیجیتال ثبت میشوند. این تصاویر بهسرعت پردازش شده و میتوانند به صورت آنی در سیستمهای کامپیوتری نمایش داده شوند. یکی از مزایای بزرگ این روش امکان ذخیرهسازی و انتقال سریع تصاویر است.ویژگیها:
تصاویر دیجیتال که کیفیت بالاتر و وضوح بیشتری دارند.
سرعت پردازش و نمایش تصویر بسیار سریعتر از پرتونگاری ساده.
امکان ذخیرهسازی و اشتراکگذاری آنلاین تصاویر.
امکان اصلاح تصاویر (مثلاً افزایش کنتراست یا روشنایی).
کاربردها:
مشابه پرتونگاری ساده برای بررسی شکستگیها، دررفتگیها و بیماریهای استخوانی.
مناسب برای مراکز پزشکی و بیمارستانها به دلیل سرعت بالا و سهولت در مدیریت تصاویر.
رنگی (Color X-ray)
پرتونگاری رنگی یا با کنتراست رنگی از مواد کنتراست خاص برای افزایش وضوح تصویر استفاده میکند. این مواد معمولاً حاوی یونهای ید یا باریم هستند که در بدن بیمار تزریق یا بلعیده میشوند. این مواد کنتراست کمک میکنند تا قسمتهای خاصی از بدن مانند دستگاه گوارش، عروق و ریهها بهطور واضحتری دیده شوند.ویژگیها:
استفاده از مواد کنتراست که در بدن بیمار وارد میشود تا تصاویر دقیقتری ایجاد کند.
تصاویر بهطور معمول رنگی به نمایش در میآیند.
قادر به نشان دادن جزئیات بیشتر از تصویربرداری ساده.
کاربردها:
بررسی و تشخیص مشکلات دستگاه گوارش، مانند انسداد رودهها یا مشکلات معده.
شناسایی ناهنجاریها در سیستم عروقی و مثانه.
بررسی برخی بیماریهای ریوی و قلبی با دقت بیشتر.
کاربردهای تصویربرداری با اشعه ایکس
شکستگیها و دررفتگیها: اولین روش برای شناسایی شکستگیها و آسیبهای استخوانی است.
بیماریهای ریوی: مانند ذاتالریه، سل و تومورهای ریوی که با تصویربرداری قفسه سینه بهراحتی قابل شناسایی هستند.
بررسی مفاصل: برای تشخیص آرتروز، عفونتها و بیماریهای مفصلی مانند التهاب مفاصل مفید است.
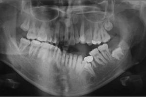
مشکلات دندانی: برای بررسی دندانها، فک و تشخیص مشکلاتی مانند پوسیدگی و عفونتهای دندانی استفاده میشود.
بررسی دستگاه گوارش: میتواند به شناسایی مشکلات مربوط به سیستم گوارشی مانند جسم خارجی یا انسداد روده کمک کند.
بیماریهای ریوی: مانند ذاتالریه، سل و تومورهای ریوی که با تصویربرداری قفسه سینه بهراحتی قابل شناسایی هستند.
بررسی مفاصل: برای تشخیص آرتروز، عفونتها و بیماریهای مفصلی مانند التهاب مفاصل مفید است.
مشکلات دندانی: برای بررسی دندانها، فک و تشخیص مشکلاتی مانند پوسیدگی و عفونتهای دندانی استفاده میشود.
بررسی دستگاه گوارش: میتواند به شناسایی مشکلات مربوط به سیستم گوارشی مانند جسم خارجی یا انسداد روده کمک کند.


فرآیند انجام رادیوگرافی
آمادهسازی: بیمار باید از پوشیدن لباسهای حاوی فلزات مانند زیورآلات خودداری کند و ممکن است نیاز به پوشیدن روپوش مخصوص باشد.
قرارگیری در موقعیت مناسب: بیمار در موقعیت خاصی قرار میگیرد تا تصویر مورد نظر با بهترین کیفیت تهیه شود.
انجام تصویربرداری: دستگاه اشعه ایکس به مدت کوتاهی فعال میشود تا تصویر ثبت گردد.
بررسی تصویر: تصویر حاصل توسط رادیولوژیست بررسی و تفسیر میشود.
قرارگیری در موقعیت مناسب: بیمار در موقعیت خاصی قرار میگیرد تا تصویر مورد نظر با بهترین کیفیت تهیه شود.
انجام تصویربرداری: دستگاه اشعه ایکس به مدت کوتاهی فعال میشود تا تصویر ثبت گردد.
بررسی تصویر: تصویر حاصل توسط رادیولوژیست بررسی و تفسیر میشود.
مزایای پرتونگاری
تشخیص سریع: شناسایی سریع بیماریها و آسیبها.
غیرتهاجمی بودن: بدون نیاز به جراحی یا ورود ابزار به بدن.
دقت بالا شناسایی دقیق بیماریها و مشکلات مختلف بدن.
سرعت بالا: انجام سریع و دریافت نتایج آنی.
کم هزینه بودن: هزینه کمتری نسبت به روشهای تصویربرداری دیگر.
دسترسپذیری: قابل انجام در اکثر مراکز درمانی.
بررسی ساختارهای سخت و نرم: شناسایی مشکلات استخوانی، مفصلی و ریوی.
پیشگیری از پیشرفت بیماریها: شناسایی زودهنگام بیماریها.
غیرتهاجمی بودن: بدون نیاز به جراحی یا ورود ابزار به بدن.
دقت بالا شناسایی دقیق بیماریها و مشکلات مختلف بدن.
سرعت بالا: انجام سریع و دریافت نتایج آنی.
کم هزینه بودن: هزینه کمتری نسبت به روشهای تصویربرداری دیگر.
دسترسپذیری: قابل انجام در اکثر مراکز درمانی.
بررسی ساختارهای سخت و نرم: شناسایی مشکلات استخوانی، مفصلی و ریوی.
پیشگیری از پیشرفت بیماریها: شناسایی زودهنگام بیماریها.


عوارض احتمالی رادیوگرافی
از آنجایی که این روش با تابش اشعه همراه است. بنابراین توصیه میشود در موارد زیر از انجام آن خودداری شود یا با احتیاط بیشتری انجام گردد:
بارداری: بهویژه در سهماهه اول بارداری.
کودکان: در صورت امکان از روشهای جایگزین استفاده شود.
تعداد دفعات زیاد: در صورت نیاز به تصویربرداری مکرر باید از دوز اشعه کمتری استفاده شود.
بارداری: بهویژه در سهماهه اول بارداری.
کودکان: در صورت امکان از روشهای جایگزین استفاده شود.
تعداد دفعات زیاد: در صورت نیاز به تصویربرداری مکرر باید از دوز اشعه کمتری استفاده شود.
هزینه رادیولوژی
هزینه انجام این روش تصویربرداری به عوامل مختلفی بستگی دارد از جمله نوع معاینه، تجهیزات استفادهشده و محلی که خدمات ارائه میشود. برای مثال انجام تصویربرداری با استفاده از مواد کنتراست یا در مراکز خصوصی معمولاً هزینه بیشتری نسبت به روشهای ساده دارد. همچنین در صورتی که نیاز به تصویربرداری دیجیتال باشد که فرآیند پردازش و ذخیرهسازی سریعتری دارد ممکن است هزینه بالاتری داشته باشد. دیگر عوامل موثر شامل موقعیت جغرافیایی مرکز درمانی و نوع بیمه بیمار نیز میتوانند بر هزینه نهایی تأثیر بگذارند.

مرکز دکتر حیدری بهترین مرکز رادیوگرافی در شرق تهران

مرکز دکتر راضیه حیدری متخصص رادیولوژی با رویکردی علمی، تخصصی و بیمارمحور بهعنوان یکی از معتبرترین مراکز رادیولوژی در شرق تهران شناخته میشود. ترکیبی از دانش روز، تجهیزات پیشرفته و تیمی از متخصصان با تجربه این مرکز را به انتخاب اول بسیاری از افراد در منطقه تبدیل کرده است.
استفاده از تجهیزات پیشرفته تصویربرداری
در مرکز ژرفا از تکنولوژیهای نوین و پیشرفته مانند رادیوگرافی دیجیتال و سونوگرافی استفاده میشود که امکان تشخیص دقیق و زودهنگام بیماریها را فراهم میآورد. این تجهیزات پیشرفته بهویژه برای شناسایی بیماریها در مراحل اولیه و تودههای کوچک بسیار مؤثر هستند و به پزشکان کمک میکنند تا تصاویر واضح و دقیق از ساختارهای داخلی بدن دریافت کنند.
تیم پزشکی متخصص و باتجربه
حضور رادیولوژیستهای مجرب در این مرکز باعث اطمینان بیماران از دقت تشخیصها و درمانهای ارائهشده میشود. تیم پزشکی ما علاوه بر داشتن تخصص بالا در تفسیر تصاویر ارتباط نزدیکی با پزشکان معالج برقرار میکنند تا تمامی مراحل درمان بهصورت دقیق و هماهنگ پیش برود. همکاری نزدیک میان اعضای تیم پزشکی موجب بهبود سرعت درمان و افزایش کیفیت خدمات میشود.
پاسخدهی سریع، منظم و دقیق
گزارشدهی در مرکز دکتر حیدری با سرعت بالا و بهصورت مکتوب و الکترونیکی انجام میشود. بیماران و پزشکان در کمترین زمان ممکن به نتایج و تفسیرهای تخصصی دسترسی پیدا میکنند که این امر نقش مؤثری در تصمیمگیریهای درمانی دارد.
طرف قرارداد با بیمهها
این مرکز به بیماران این امکان را میدهد تا از خدمات تخصصی با هزینههای کمتر و پوشش بیمهای بهرهمند شوند، بنابراین روند درمان راحتتر و مقرون بهصرفهتر خواهد بود.
برای رزرو نوبت می توانید از طریق دکمه دریافت نوبت یا شماره تماس مرکز 02133300908 اقدام نمایید.
استفاده از تجهیزات پیشرفته تصویربرداری
در مرکز ژرفا از تکنولوژیهای نوین و پیشرفته مانند رادیوگرافی دیجیتال و سونوگرافی استفاده میشود که امکان تشخیص دقیق و زودهنگام بیماریها را فراهم میآورد. این تجهیزات پیشرفته بهویژه برای شناسایی بیماریها در مراحل اولیه و تودههای کوچک بسیار مؤثر هستند و به پزشکان کمک میکنند تا تصاویر واضح و دقیق از ساختارهای داخلی بدن دریافت کنند.
تیم پزشکی متخصص و باتجربه
حضور رادیولوژیستهای مجرب در این مرکز باعث اطمینان بیماران از دقت تشخیصها و درمانهای ارائهشده میشود. تیم پزشکی ما علاوه بر داشتن تخصص بالا در تفسیر تصاویر ارتباط نزدیکی با پزشکان معالج برقرار میکنند تا تمامی مراحل درمان بهصورت دقیق و هماهنگ پیش برود. همکاری نزدیک میان اعضای تیم پزشکی موجب بهبود سرعت درمان و افزایش کیفیت خدمات میشود.
پاسخدهی سریع، منظم و دقیق
گزارشدهی در مرکز دکتر حیدری با سرعت بالا و بهصورت مکتوب و الکترونیکی انجام میشود. بیماران و پزشکان در کمترین زمان ممکن به نتایج و تفسیرهای تخصصی دسترسی پیدا میکنند که این امر نقش مؤثری در تصمیمگیریهای درمانی دارد.
طرف قرارداد با بیمهها
این مرکز به بیماران این امکان را میدهد تا از خدمات تخصصی با هزینههای کمتر و پوشش بیمهای بهرهمند شوند، بنابراین روند درمان راحتتر و مقرون بهصرفهتر خواهد بود.
برای رزرو نوبت می توانید از طریق دکمه دریافت نوبت یا شماره تماس مرکز 02133300908 اقدام نمایید.
بله، مرکز دکتر حیدری خدمات تصویربرداری را برای تمامی گروههای سنی از کودکان تا بزرگسالان فراهم میکند.
بستگی به نوع معاینه دارد اما در برخی موارد ممکن است نیاز باشد تا بیمار از لباسهای بدون فلز استفاده کند یا در موارد خاص مواد کنتراست مصرف کند.
بله، این مرکز با بسیاری از شرکتهای بیمه قرارداد دارد. برای کسب اطلاعات بیشتر در مورد پوشش بیمهای، میتوانید با مرکز تماس بگیرید.
این روش نسبت به برخی دیگر از روشهای تصویربرداری مانند امآرآی و سیتیاسکن سریعتر و کم هزینهتر است و برای شناسایی مشکلات استخوانی و مفصلی مناسبتر است.










