

عکس دندان و OPG در پیروزی و شرق تهران با بیمه
چرا مرکز دکتر حیدری بهترین مرکز عکس دندان و OPG در پیروزی و شرق تهران است؟

مرکز دکتر راضیه حیدری متخصص رادیولوژی با رویکردی علمی، تخصصی و بیمارمحور بهعنوان یکی از معتبرترین مراکز عکسبرداری دندان در پیروزی و شرق تهران شناخته میشود. ترکیبی از دانش روز، تجهیزات پیشرفته و تیمی از متخصصان با تجربه این مرکز را به انتخاب اول بسیاری از افراد در منطقه تبدیل کرده است.
استفاده از تجهیزات پیشرفته تصویربرداری
در مرکز ژرفا از تکنولوژیهای نوین و پیشرفته مانند رادیوگرافی دیجیتال و سونوگرافی استفاده میشود که امکان تشخیص دقیق و زودهنگام بیماریها را فراهم میآورد. این تجهیزات پیشرفته بهویژه برای شناسایی بیماریها در مراحل اولیه و تودههای کوچک بسیار مؤثر هستند و به پزشکان کمک میکنند تا تصاویر واضح و دقیق از ساختارهای داخلی بدن دریافت کنند.
تیم پزشکی متخصص و باتجربه
حضور رادیولوژیستهای مجرب در این مرکز باعث اطمینان بیماران از دقت تشخیصها و درمانهای ارائهشده میشود. تیم پزشکی ما علاوه بر داشتن تخصص بالا در تفسیر تصاویر ارتباط نزدیکی با پزشکان معالج برقرار میکنند تا تمامی مراحل درمان بهصورت دقیق و هماهنگ پیش برود. همکاری نزدیک میان اعضای تیم پزشکی موجب بهبود سرعت درمان و افزایش کیفیت خدمات میشود.
پاسخدهی سریع، منظم و دقیق
گزارشدهی در مرکز دکتر حیدری با سرعت بالا و بهصورت مکتوب و الکترونیکی انجام میشود. بیماران و پزشکان در کمترین زمان ممکن به نتایج و تفسیرهای تخصصی دسترسی پیدا میکنند که این امر نقش مؤثری در تصمیمگیریهای درمانی دارد.
طرف قرارداد با بیمهها
این مرکز به بیماران این امکان را میدهد تا از خدمات تخصصی با هزینههای کمتر و پوشش بیمهای بهرهمند شوند، بنابراین روند درمان راحتتر و مقرون بهصرفهتر خواهد بود.
برای رزرو نوبت می توانید از طریق دکمه دریافت نوبت یا شماره تماس مرکز 02133300908 اقدام نمایید.
استفاده از تجهیزات پیشرفته تصویربرداری
در مرکز ژرفا از تکنولوژیهای نوین و پیشرفته مانند رادیوگرافی دیجیتال و سونوگرافی استفاده میشود که امکان تشخیص دقیق و زودهنگام بیماریها را فراهم میآورد. این تجهیزات پیشرفته بهویژه برای شناسایی بیماریها در مراحل اولیه و تودههای کوچک بسیار مؤثر هستند و به پزشکان کمک میکنند تا تصاویر واضح و دقیق از ساختارهای داخلی بدن دریافت کنند.
تیم پزشکی متخصص و باتجربه
حضور رادیولوژیستهای مجرب در این مرکز باعث اطمینان بیماران از دقت تشخیصها و درمانهای ارائهشده میشود. تیم پزشکی ما علاوه بر داشتن تخصص بالا در تفسیر تصاویر ارتباط نزدیکی با پزشکان معالج برقرار میکنند تا تمامی مراحل درمان بهصورت دقیق و هماهنگ پیش برود. همکاری نزدیک میان اعضای تیم پزشکی موجب بهبود سرعت درمان و افزایش کیفیت خدمات میشود.
پاسخدهی سریع، منظم و دقیق
گزارشدهی در مرکز دکتر حیدری با سرعت بالا و بهصورت مکتوب و الکترونیکی انجام میشود. بیماران و پزشکان در کمترین زمان ممکن به نتایج و تفسیرهای تخصصی دسترسی پیدا میکنند که این امر نقش مؤثری در تصمیمگیریهای درمانی دارد.
طرف قرارداد با بیمهها
این مرکز به بیماران این امکان را میدهد تا از خدمات تخصصی با هزینههای کمتر و پوشش بیمهای بهرهمند شوند، بنابراین روند درمان راحتتر و مقرون بهصرفهتر خواهد بود.
برای رزرو نوبت می توانید از طریق دکمه دریافت نوبت یا شماره تماس مرکز 02133300908 اقدام نمایید.
انواع مختلف عکسبرداری دندان
عکس پرطره: برای بررسی پوسیدگی دندانهای بالایی و پایینی در مناطق بین دندانها.
عکس پری اپیکال: برای بررسی ریشه دندان و استخوان اطراف آن.
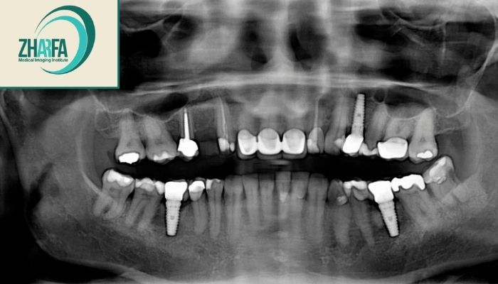
عکس OPG: برای نمایش وضعیت کلی فک و دندانها در یک تصویر.
عکس پری اپیکال: برای بررسی ریشه دندان و استخوان اطراف آن.
عکس OPG: برای نمایش وضعیت کلی فک و دندانها در یک تصویر.

کاربردهای او پی جی

تشخیص پوسیدگی دندان: شناسایی پوسیدگیهای پنهان بین دندانها.
تشخیص کیستها و تومورها: شناسایی رشدهای غیرطبیعی در فک و دندان.
بررسی وضعیت ریشه دندان: تشخیص مشکلات ریشه مانند عفونت یا آسیب.
ارزیابی فک و مفصل تمپورومنیکولار: شناسایی مشکلات فک و مفصل TMJ مانند اختلالات جویدن یا درد مفصل.
برنامهریزی برای درمان ارتودنسی: بررسی وضعیت دندانها و فک برای درمان ارتودنسی.
تشخیص بیماریهای لثه: شناسایی عفونتها و تحلیل استخوان لثه.
بررسی دندانهای نهفته: شناسایی دندانهای نهفته در فک.
پیشگیری از مشکلات جدیتر: شناسایی زودهنگام مشکلات دهانی.
حمایت در جراحیهای دهانی: کمک به برنامهریزی جراحیهای پیچیده.
ارزیابی قبل از درمانهای پروتزی: بررسی وضعیت فک و دندانها قبل از ایمپلنت یا پروتز.
تشخیص کیستها و تومورها: شناسایی رشدهای غیرطبیعی در فک و دندان.
بررسی وضعیت ریشه دندان: تشخیص مشکلات ریشه مانند عفونت یا آسیب.
ارزیابی فک و مفصل تمپورومنیکولار: شناسایی مشکلات فک و مفصل TMJ مانند اختلالات جویدن یا درد مفصل.
برنامهریزی برای درمان ارتودنسی: بررسی وضعیت دندانها و فک برای درمان ارتودنسی.
تشخیص بیماریهای لثه: شناسایی عفونتها و تحلیل استخوان لثه.
بررسی دندانهای نهفته: شناسایی دندانهای نهفته در فک.
پیشگیری از مشکلات جدیتر: شناسایی زودهنگام مشکلات دهانی.
حمایت در جراحیهای دهانی: کمک به برنامهریزی جراحیهای پیچیده.
ارزیابی قبل از درمانهای پروتزی: بررسی وضعیت فک و دندانها قبل از ایمپلنت یا پروتز.

نحوه انجام رادیوگرافی پانورامیک دندانها
بیمار باید در صندلی دندانپزشکی بنشیند و سر خود را در دستگاه قرار دهد. در حین عکسبرداری بیمار باید ثابت بماند تا تصاویر به صورت واضح و دقیق ثبت شوند. در صورت انجام OPG دستگاه به دور سر بیمار حرکت میکند و تصاویر به طور کامل از فکها و دندانها گرفته میشود. مهم است که بیمار فلزات مانند دندانهای مصنوعی یا جواهرات را از بدن خود بردارد. همچنین پوشش پیشبند سربی برای محافظت از بیمار استفاده میشود. این فرآیند معمولاً چند ثانیه بیشتر زمان نمیبرد.
مزایای تصویربرداری OPG
دقت بالا: این روش از دقت بالایی برخوردار است و امکان تشخیص مشکلاتی که با معاینه بصری قابل مشاهده نیستند را فراهم میآورند.
پیشگیری از مشکلات جدی: با شناسایی زودهنگام مشکلات دندانی میتوان از ایجاد مشکلات جدیتر جلوگیری کرد و درمانهای لازم را به موقع انجام داد.
راحتی: انجام این نوع عکسبرداری سریع و غیرتهاجمی است.
مؤثر در درمانهای آینده: این تصاویر میتوانند به دندانپزشکان کمک کنند تا بهترین روش درمانی را برای بیمار انتخاب کنند.
پیشگیری از مشکلات جدی: با شناسایی زودهنگام مشکلات دندانی میتوان از ایجاد مشکلات جدیتر جلوگیری کرد و درمانهای لازم را به موقع انجام داد.
راحتی: انجام این نوع عکسبرداری سریع و غیرتهاجمی است.
مؤثر در درمانهای آینده: این تصاویر میتوانند به دندانپزشکان کمک کنند تا بهترین روش درمانی را برای بیمار انتخاب کنند.


ایمنی رادیوگرافی کامل فک و دندان
یکی از نگرانیهای معمول درباره استفاده از اشعه ایکس ایمنی آن است. خوشبختانه تکنولوژیهای مدرن در تصویربرداری دندان مقدار اشعه مورد استفاده را به حداقل رساندهاند. همچنین بیشتر عکسهای دندان به گونهای طراحی شدهاند که خطرات احتمالی برای بیمار را کاهش دهند.
علاوه بر این دندانپزشکان و متخصصان دندانپزشکی معمولاً از پوششهای حفاظتی مانند پیشبند سربی برای کاهش تابش غیرمستقیم اشعه استفاده میکنند.
علاوه بر این دندانپزشکان و متخصصان دندانپزشکی معمولاً از پوششهای حفاظتی مانند پیشبند سربی برای کاهش تابش غیرمستقیم اشعه استفاده میکنند.
هزینه عکس پانورامیک دندانها و فک
هزینه عکس برداری بسته به عوامل مختلفی متغیر است از جمله مکان انجام عکس که مراکز دندانپزشکی در مناطق مختلف ممکن است قیمتهای متفاوتی داشته باشند. همچنین استفاده از تجهیزات و تکنولوژی پیشرفته میتواند هزینه را افزایش دهد. هزینه OPG معمولاً بیشتر از سایر انواع عکس دندان است و تجربه و تخصص دندانپزشک یا مرکز تخصصی نیز میتواند بر قیمت تاثیر بگذارد. برای دریافت اطلاعات دقیقتر بهتر است به مرکز رادیولوژی دکتر راضیه حیدری مراجعه کرده یا تماس حاصل نمایید و هزینه را استعلام کنید.

برای انجام عکسبرداری دندانی معمولاً نیاز به آمادگی خاصی نیست اما بهتر است بیمار از برداشتن جواهرات یا دندانهای مصنوعی اطمینان حاصل کند و قبل از انجام عکسبرداری به دندانپزشک اطلاع دهد.
عکسبرداری دندانی معمولاً برای افرادی که نیاز به بررسی دقیق وضعیت دندانها و لثهها دارند یا به مشکلات دهانی خاصی مانند پوسیدگی، عفونت یا بیماری لثه مبتلا هستند ضروری است.
برای افراد در تمامی سنین میتوان عکس دندان گرفت. البته در کودکان و زنان باردار ممکن است نیاز به رعایت نکات ایمنی خاصی باشد.
پس از انجام عکسبرداری دندانی نیازی به مراقبت خاصی نیست. تنها در صورتی که عکسبرداری به دلیل مشکلات خاص دهانی انجام شود باید دستورات دندانپزشک را دنبال کنید.


