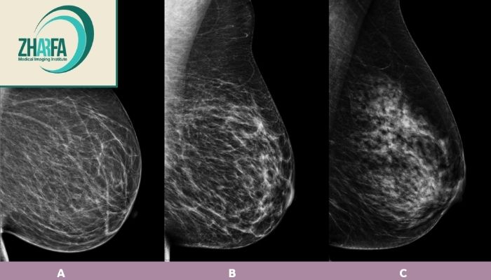
مقایسه ماموگرافی و سونوگرافی سینه



آنچه در این مقاله میخوانید



اگر علائمی دارید یا تراکم بالاست ممکن است توصیه شود. در غیر این صورت معمولاً نیازی نیست.
نه همیشه. برخی سرطانها ممکن است در مراحل اولیه از نظر تصویربرداری مخفی باشند بررسی بالینی و پیگیری دورهای ضروری است.
بله، اما برای کاهش ناراحتی و حساسیت پستان بهتر است چند روز پس از پایان قاعدگی انجام شود.
ماموگرافی معمولاً ۱۰ تا ۱۵ دقیقه و سونوگرافی سینه حدود ۱۵ تا ۲۰ دقیقه طول میکشد.
لیست نظرات
منم تجربه کردم و ماموگرافی یه چیز مشکوک نشون داد ولی با سونوگرافی مشخص شد مشکلی نیست.
من بالای 40 سالمه و همیشه ماموگرافی میرفتم حالا فهمیدم چرا این روش بیشتر برای سن من مناسبه.
من سینههام متراکم بود و دکتر گفت بهتره هر دو روش رو انجام بدم.
من به توصیه پزشکم هر دو روش رو انجام دادم و خیالم راحت شد.
تماس با ما
تایم کاری :
8:00 الی 20:00تماس :
آدرس :
تهران، خیابان پیروزی، بین شکوفه و اتوبان امام علی (ع)، روبروی مترو شیخالرئیس (ابن سینا)، نبش کوچه مفتخر، پلاک ۹، طبقه دومواتساپ :
لینک واتساپ