چگونه اندومتریوز با سونوگرافی تشخیص داده می‌شود؟

آیا آندومتریوز با سونوگرافی قابل تشخیص است؟ بررسی علائم و روش های تشخیص
تیم تولید محتوایی ایران نوبت
1404/08/10

تشخیص آندومتریوز با سونوگرافی

تشخیص آندومتریوز با سونوگرافی
آندومتریوز یکی از شایع‌ترین بیماری‌های زنان در سنین باروری است که می‌تواند باعث دردهای شدید لگنی، قاعدگی‌های دردناک و حتی ناباروری شود. در این بیماری بافتی شبیه آندومتر (بافت داخلی رحم) در خارج از رحم رشد می‌کند و ممکن است تخمدان‌ها، لوله‌های فالوپ، روده و مثانه را درگیر کند. تشخیص دقیق این بیماری در مراحل اولیه نقش زیادی در کنترل علائم و پیشگیری از عوارض دارد. یکی از ابزارهای تصویربرداری رایج برای بررسی آندومتر خارج رحم سونوگرافی است؛
در این روش متخصص رادیولوژی با دقت ساختارهای لگنی، تخمدان‌ها و دیواره رحم را بررسی می‌کند تا وجود ضایعات را شناسایی کند. مواردی که سونوگرافی در آنها مؤثر است:
تشخیص آندومتریوما (کیست‌های آندومتریوزی تخمدان) این ضایعات معمولاً ظاهر مشخصی در سونو دارند.
بررسی ضایعات عمقی لگنی مانند درگیری دیواره رحم یا ناحیه رکتوواژینال.
ارزیابی چسبندگی‌ها و تغییرات آناتومیک بین رحم و تخمدان، که در آندومتر خارج رحم پیشرفته مشاهده می‌شود.
پایش اثر درمان دارویی یا جراحی در بیماران مبتلا.

علائم آندومتریوز

شایع‌ترین علائم عبارتند از:
درد شدید قاعدگی: درد لگنی و کرامپی قبل و در حین قاعدگی که معمولاً هر ماه شدیدتر می‌شود و به داروهای معمول پاسخ نمی‌دهد.
درد مزمن لگنی: دردی مداوم و مبهم در ناحیه لگن که در تمام طول ماه ممکن است باقی بماند و با فعالیت یا نشستن تشدید شود.
درد هنگام رابطه جنسی (دیس‌پارونیا): احساس درد در عمق واژن یا لگن حین یا پس از نزدیکی به‌دلیل درگیری بافت‌های داخلی با آندومتر خارج رحم.
اختلالات گوارشی: نفخ، اسهال یا یبوست به‌ویژه در زمان پریود؛ معمولاً نشانه درگیری روده با بافت آندومتر است.
علائم ادراری: سوزش، درد یا وجود خون در ادرار در روزهای قاعدگی در اثر درگیری مثانه یا لوله‌های حالب.
قاعدگی‌های غیرطبیعی: خونریزی‌های سنگین، طولانی یا لکه‌بینی پیش از شروع پریود که ناشی از تغییرات هورمونی و التهاب لگن است.
ناباروری یا دشواری در بارداری: آندومتر خارج رحم می‌تواند باعث چسبندگی و انسداد لوله‌های فالوپ شود و مسیر لقاح را مختل کند.
خستگی مزمن و ضعف عمومی: التهاب مداوم و درد طولانی‌مدت موجب احساس بی‌حالی و کم‌خوابی و کاهش تمرکز در طول روز می‌شود.

روش‌های تشخیص

روش‌های تشخیص
تشخیص این مشکل نیازمند ارزیابی دقیق بالینی و استفاده از تکنولوژی‌های تصویربرداری پزشکی است. متداول‌ترین روش‌های تشخیص عبارتند از:
معاینه بالینی توسط متخصص زنان: پزشک با لمس ناحیه لگن و بررسی حساسیت و وجود توده‌ها یا چسبندگی‌ها به مشکوک بودن آندومتر خارج رحم پی می‌برد.
سونوگرافی ترانس‌واژینال (Transvaginal): دقیق‌ترین سونوگرافی برای یافتن کیست‌های آندومتریوما و ضایعات عمقی لگن است و نخستین انتخاب در بررسی بیماران محسوب می‌شود. مراکز مجهزی برای انجام سونوگرافی واژینال در شرق تهران وجود دارد که با دستگاه‌های پیشرفته و تفسیر تخصصی رادیولوژیست‌ها امکان تشخیص دقیق ضایعات آندومتریوزی را فراهم می‌کنند. این روش به‌ویژه برای بانوان دارای علائم درد لگن و ناباروری اهمیت فراوانی دارد.
سونوگرافی شکمی: برای بیمارانی که انجام سونوگرافی واژینال ممکن نیست، از طریق شکم انجام می‌شود؛ دقت کمتر دارد ولی تصویری کلی از لگن ارائه می‌دهد.
MRI لگن: روشی غیرتهاجمی برای مشاهده ضایعات عمقی‌تر به‌ویژه در مناطق غیرقابل‌دسترس با سونوگرافی؛ وضوح بالای بافتی دارد.
لاپاراسکوپی تشخیصی: دقیق‌ترین روش تشخیص آندومتر خارج رحم در آن پزشک با دید مستقیم داخل شکم ضایعات را مشاهده و نمونه‌برداری می‌کند.
آزمایش‌های خونی (نشانگر CA-125): افزایش این نشانگر ممکن است در بیماران مبتلا دیده شود اما به‌تنهایی برای تشخیص کافی نیست و صرفاً کمک‌کننده است.
روش‌های تشخیص

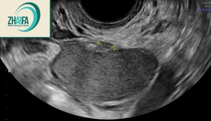
نشانه‌های قابل تشخیص در سونوگرافی

نشانه‌های سونوگرافی این عارضه بسته به محل درگیری و شدت بیماری متفاوت‌اند اما چند الگوی مشخص وجود دارد که برای رادیولوژیست‌های باتجربه بسیار معنادار است. در ادامه مهم‌ترین علائم قابل مشاهده در سونوگرافی ترانس‌واژینال (TVS) و گاهی سونوگرافی شکمی آورده شده‌اند:
کیست آندومتریوما تخمدان: دیده‌شدن کیست با اکو داخلی یکنواخت و ظاهری شبیه «شیشه مات»؛ نشانه‌ بارز تجمع خون قدیمی در ضایعات آندومتر خارج رحم است.
چسبندگی و محدودیت حرکتی رحم و تخمدان‌ها: اندام‌های لگنی نسبت به هم حرکت ندارند و ممکن است تخمدان‌ها پشت رحم به‌هم نزدیک شوند (نشانه‌ی «تخمدان‌های بوسه‌زن»).
ضایعات عمقی (DIE): توده‌های هیپواکو، نامنظم و ثابت در دیواره رحم، واژن یا روده که نشان‌دهنده نفوذ آندومتر خارج رحم در بافت‌های عمیق است.
مایع آزاد در لگن: وجود مقدار کمی مایع در حفره داگلاس معمولاً ناشی از التهاب یا خونریزی ضایعات فعال آندومتر خارج رحم است.
تغییر شکل رحم یا تخمدان: چسبندگی‌ها باعث جابه‌جایی تخمدان یا خم‌شدگی رحم به سمت عقب می‌شوند؛ گاهی محور لگن نیز تغییر می‌کند.
درگیری مثانه یا روده: مشاهده ضخیم‌شدگی موضعی یا توده‌های هیپواکو در دیواره این اندام‌ها نشانه نفوذ ضایعات عمیق است.
Sliding sign منفی (کاهش تحرک اندام‌ها در سونو): هنگام فشار با پروب، رحم و تخمدان‌ها نسبت به هم حرکت نمی‌کنند؛ نشانگر چسبندگی شدید ناشی از آندومتر خارج رحم است.

تشخیص زودهنگام چقدر در درمان مؤثر است؟

تشخیص زودهنگام چقدر در درمان مؤثر است؟
تشخیص زودهنگام نقش بسیار حیاتی در حفظ باروری و کنترل علائم بیماری دارد. در مراحل اولیه ضایعات آندومتریوتیک هنوز گسترده نشده‌اند بنابراین درمان ساده‌تر و اثربخش‌تر است.
با شناسایی زودهنگام از طریق سونوگرافی ترانس‌واژینال یا MRI لگن می‌توان از چسبندگی و آسیب به تخمدان‌ها و لوله‌های فالوپ جلوگیری کرد. این امر به‌طور مستقیم احتمال باروری طبیعی را افزایش می‌دهد و نیاز به درمان‌های ناباروری مانند IVF را کاهش می‌دهد.
درمان سریع شامل داروهای هورمونی، کنترل درد و در موارد لازم جراحی محافظه‌کارانه است که مانع پیشرفت ضایعات می‌شود. تشخیص دیرهنگام معمولاً منجر به درد مزمن و ناباروری و پیچیدگی درمان می‌شود.
در مجموع آگاهی و غربالگری منظم زنان در سنین باروری مهم‌ترین عامل در شناسایی زودهنگام این بیماری و حفظ توانایی باروری طبیعی است.

کلام پایانی

آندومتریوز یکی از بیماری‌های پیچیده و تأثیرگذار بر سلامت زنان در سنین باروری است که در صورت عدم تشخیص به‌موقع می‌تواند منجر به دردهای مزمن لگنی، چسبندگی اندام‌های تناسلی و ناباروری شود. سونوگرافی ترانس‌واژینال به‌عنوان نخستین و در دسترس‌ترین ابزار تصویربرداری، نقش محوری در تشخیص ضایعات آندومتریوتیک از جمله آندومتریوما، چسبندگی‌ها و درگیری عمقی بافت‌ها دارد و در کنار MRI و لاپاراسکوپی پایه اصلی ارزیابی بیماران را تشکیل می‌دهد. تشخیص زودهنگام با سونوگرافی، نه‌تنها مسیر درمان را هدفمندتر می‌کند بلکه از آسیب به تخمدان و لوله‌های فالوپ و کاهش باروری طبیعی پیشگیری خواهد کرد.
این عارضه بیماری‌ای است که تشخیص زودهنگام آن می‌تواند سرنوشت باروری و سلامت زنان را تغییر دهد. در کلینیک دکتر راضیه حیدری ارزیابی تخصصی با تکیه بر سونوگرافی ترانس‌واژینال و دیگر روش‌های تصویربرداری پیشرفته به‌صورت دقیق و علمی انجام می‌شود تا کوچک‌ترین ضایعات آندومتریوتیک شناسایی شوند. برای رزرو نوبت می توانید از طریق دکمه دریافت نوبت یا شماره تماس مرکز 02133300908 اقدام نمایید.

منابع
mayoclinic.org
my.clevelandclinic.org
pmc.ncbi.nlm.nih.gov

خیر تشخیص دقیق نیاز به رادیولوژیست آموزش‌دیده در زمینه سونوگرافی لگن زنان دارد زیرا الگوهای تصویری خاصی مثل ظاهر شیشه مات و تخمدان‌های بوسه‌زن باید درست تفسیر شوند.

خیر درمان بستگی به شدت بیماری دارد در موارد خفیف داروهای هورمونی یا ضدالتهاب کافی است اما اگر ضایعات عمقی و چسبندگی شدید باشد جراحی توصیه می‌شود.

در بعضی موارد ضایعات کیستی یا اندومتریال ممکن است شبیه به هم باشند ولی با تجربه رادیولوژیست قابل افتراق‌اند به‌ویژه با بررسی حرکت رحم و Sliding sign.

لیست نظرات

ناهید احمدی

من تازه فهمیدم این بیماری با سونو مشخص میشه قبلاً فکر می‌کردم فقط با لاپاراسکوپی میشه دید.

مریم رضایی

من چند ماهه درد شدید دارم رفتم سونو گفتن این مشکل رو دارم خیلی نگرانم دکترم گفت باید دارو مصرف کنم. ممنون از مطلبتون

رعنا محمدی

خواهر من هم این مشکل رو داشت با سونو ترانس‌واژینال تشخیص دادن خدا رو شکر زود فهمیدن و درمان کرد.


تماس با ما

تایم کاری :

8:00 الی 20:00

آدرس :

تهران، خیابان پیروزی، بین شکوفه و اتوبان امام علی (ع)، روبروی مترو شیخ‌الرئیس (ابن سینا)، نبش کوچه مفتخر، پلاک ۹، طبقه دوم

واتساپ :

لینک واتساپ
دکتر راضیه حیدری متخصص رادیولوژی و سونوگرافی در شرق تهران